Sinh thiết thận là một kỹ thuật quan trọng giúp bác sĩ xác định chính xác nguyên nhân gây bệnh thận, từ đó lựa chọn phương pháp điều trị phù hợp và hiệu quả nhất. Tuy nhiên, giá trị của sinh thiết thận không chỉ nằm ở việc lấy được mảnh mô, mà còn phụ thuộc rất lớn vào quy trình xét nghiệm Giải phẫu bệnh được thực hiện sau đó.
I. Sinh thiết thận là gì và tại sao cần xét nghiệm Giải phẫu bệnh?
Sinh thiết thận là thủ thuật lấy một mảnh mô rất nhỏ từ thận của người bệnh bằng kim chuyên dụng. Mảnh mô này không thể cho kết luận chính xác nếu chỉ nhìn bằng mắt thường, mà cần được xử lý và phân tích bằng các kỹ thuật Giải phẫu bệnh.

Bác sĩ Giải phẫu bệnh phân chia mẫu sinh thiết thận tươi trên kính hiển vi soi nổi
Thông qua xét nghiệm Giải phẫu bệnh, bác sĩ có thể:
- Xác định loại tổn thương thận (viêm, thoái hóa, xơ hóa, lắng đọng miễn dịch,…), vị trí tổn thương (cầu thận, ống thận, mô kẽ, mạch máu,…);
- Phân biệt bệnh thận nguyên phát hay thứ phát;
- Đánh giá mức độ nặng và giai đoạn bệnh;
- Theo dõi hiệu quả điều trị và tiên lượng bệnh.
II. Quy trình xét nghiệm Giải phẫu bệnh sinh thiết thận gồm những bước nào?
Tại khoa Giải phẫu bệnh, quy trình này không chỉ là một xét nghiệm thông thường, mà là một hành trình khoa học tỉ mỉ, đòi hỏi sự kết hợp giữa công nghệ hiện đại và sự khéo léo của con người. Toàn bộ quy trình xét nghiệm được thực hiện theo chuỗi các bước chặt chẽ, mỗi bước đều có vai trò quan trọng và ảnh hưởng trực tiếp đến độ chính xác của kết quả.
1. Tiếp nhận và bảo quản mẫu sinh thiết – Nền tảng quyết định chất lượng
Ngay sau khi lấy ra khỏi cơ thể, mảnh sinh thiết thận tươi phải được bảo quản đúng cách và chuyển nhanh đến phòng xét nghiệm Giải phẫu bệnh. Mẫu tươi cần phân chia thành hai loại chính: một phần được giữ tươi để làm xét nghiệm miễn dịch huỳnh quang (đánh giá các lắng đọng miễn dịch ở thận); một phần được ngâm trong dung dịch bảo quản (formalin) để soi dưới kính hiển vi quang học.
Bác sĩ Giải phẫu bệnh sẽ quan sát mẫu dưới kính hiển vi soi nổi để kiểm tra xem mẫu có đủ các thành phần cần thiết (đặc biệt là cầu thận – đơn vị lọc của thận) hay không. Tiếp đó, mảnh sinh thiết nhỏ sẽ thực hiện phân chia dưới kính hiển vi một cách nhanh chóng, cẩn thận nhằm đảm bảo mẫu có đủ số lượng cầu thận cho các xét nghiệm chuyên sâu như miễn dịch huỳnh quang và các xét nghiệm thường quy (H&E), xét nghiệm đặc biệt khác (PAS, Trichrome, Bạc,…)
Nếu mẫu bị khô, bị ngâm sai dung dịch hoặc vận chuyển chậm thì cấu trúc mô có thể bị tổn thương, làm giảm giá trị chẩn đoán, thậm chí không thể đọc kết quả. Đây là lý do vì sao sự phối hợp chặt chẽ giữa bác sĩ lâm sàng và phòng xét nghiệm Giải phẫu bệnh là vô cùng quan trọng.
2. Xử lý mô và tạo tiêu bản – Biến mảnh mô nhỏ thành hình ảnh chẩn đoán
Đây là giai đoạn mô thận được chuẩn bị để có thể cắt thành những lát rất mỏng, do mô thận rất mềm và nhỏ, chúng ta không thể cắt trực tiếp ngay được.
- Cố định giúp mô trở nên cứng cáp và giữ nguyên cấu trúc;
- Xử lý và đúc trong “block nến”;
- Cắt mô thành các lát cực mỏng (3-4 µm), liên tiếp nhau và theo thứ tự;
- Gắn lên lam kính đúng hướng và theo thứ tự.
Những lát cắt này chính là cơ sở để quan sát tổn thương dưới kính hiển vi. Nếu thao tác không chính xác, hình ảnh mô sẽ bị méo mó, rách hoặc mất cấu trúc quan trọng.
3. Nhuộm mô – Giúp nhìn thấy tổn thương thận
Các lát mô rất mỏng và gần như trong suốt, vì vậy cần được nhuộm màu đặc biệt để làm nổi bật các cấu trúc của thận như cầu thận, ống thận, mô kẽ, mạch máu,…
- Nhuộm HE: Cung cấp cái nhìn tổng quát về hình thái và tình trạng viêm.
- Nhuộm PAS: Màu hồng đậm giúp nhìn rõ màng đáy của các cầu thận, ống thận và các lắng đọng biểu hiện rõ.
- Nhuộm Bạc (Silver): Nhuộm màu nâu – đen làm nổi bật “khung xương” của cầu thận, giúp phát hiện các thay đổi rất nhỏ ở màng đáy cầu thận (lắng đọng dưới biểu mô kiểu “spike dome”, lắng đọng dưới nội mô kiểu “wire loop”…).
- Nhuộm Trichrome: Nhuộm màu xanh cho các vùng bị xơ hóa (sẹo), giúp bác sĩ đánh giá mức độ tổn thương xơ mạn tính của thận.
Ngoài ra, xét nghiệm Miễn dịch huỳnh quang sẽ làm cho các chất lắng đọng đặc hiệu “phát sáng” dưới ánh sáng huỳnh quang, giúp chỉ ra các loại bệnh tự miễn phức tạp.
Như vậy, mỗi phương pháp nhuộm giúp bác sĩ Giải phẫu bệnh có thể nhận diện một khía cạnh khác nhau của bệnh lý, từ đó đưa ra chẩn đoán toàn diện hơn.

Hình ảnh vi thể tổn thương kiểu “spike dome” tại màng đáy cầu thận trong bệnh thận màng (Nhuộm Bạc)
4. Quan sát và phân tích dưới kính hiển vi – “Trái tim” của xét nghiệm Giải phẫu bệnh
Sau khi các tiêu bản nhuộm đã sẵn sàng, bác sĩ Giải phẫu bệnh sẽ dành nhiều giờ đồng hồ để quan sát tiêu bản dưới kính hiển vi thấy từng lát cắt, đếm từng cầu thận, đánh giá tỉ mỉ từng vị trí để xác định các tổn thương liên quan đến cầu thận, ống thận, mạch máu và mô kẽ. Dựa trên hình ảnh mô học, bác sĩ sẽ xác định loại bệnh, mức độ tổn thương và gợi ý hướng điều trị phù hợp.

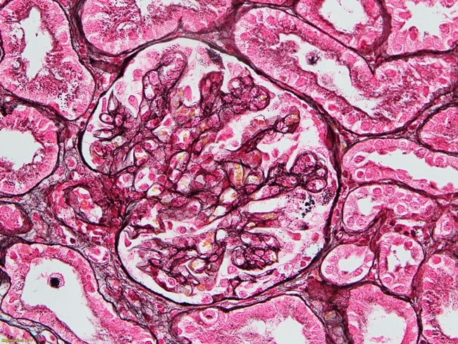
Hình ảnh cầu thận trong các phương pháp nhuộm dùng kính hiển vi quang học.

Hình ảnh lắng đọng miễn dịch trên nhuộm miễn dịch huỳnh quang trong bệnh viêm thận Lupus.
5. Trả kết quả và phối hợp lâm sàng – Đảm bảo điều trị đúng và kịp thời
Bản báo cáo kết quả Giải phẫu bệnh không chỉ là một tờ giấy kết quả, nó là một công trình khoa học, trong đó có sự kết hợp với các biểu hiện lâm sàng, xét nghiệm máu và nước tiểu của bệnh nhi để đưa ra chẩn đoán cuối cùng, giúp bác sĩ điều trị quyết định chính xác nên dùng loại thuốc nào, liều lượng bao nhiêu và khả năng hồi phục là bao nhiêu phần trăm, tránh điều trị sai hoặc không cần thiết cho người bệnh.
III. Vì sao quy trình kỹ thuật Giải phẫu bệnh lại quan trọng đến vậy?
Mỗi bước trong quy trình xét nghiệm sinh thiết thận đều có vai trò riêng, nhưng chỉ cần một khâu không đạt yêu cầu, toàn bộ kết quả có thể bị ảnh hưởng.
Một quy trình Giải phẫu bệnh chuẩn xác sẽ giúp:
- Tăng độ chính xác chẩn đoán;
- Rút ngắn thời gian chờ kết quả;
- Hỗ trợ điều trị đúng hướng;
- Bảo vệ quyền lợi và sự an toàn của người bệnh.
Thông điệp dành cho người bệnh và gia đình
Sinh thiết thận không chỉ là một thủ thuật xâm lấn nhỏ, mà là cánh cửa mở ra chẩn đoán chính xác. Đằng sau mảnh mô rất nhỏ ấy là cả một quy trình kỹ thuật Giải phẫu bệnh phức tạp, nghiêm ngặt và khoa học, được thực hiện bởi đội ngũ chuyên môn giàu kinh nghiệm.
👉 Lựa chọn cơ sở y tế có quy trình Giải phẫu bệnh chuẩn hóa chính là yếu tố quan trọng giúp người bệnh được chẩn đoán đúng và điều trị hiệu quả.
|
Khoa Giải phẫu bệnh, Bệnh viện Nhi Trung ương là cơ sở xét nghiệm chuyên sâu, chất lượng cao và đáng tin cậy, luôn tuân thủ quy trình kỹ thuật chuẩn, kiểm soát chất lượng nghiêm ngặt trong từng khâu xét nghiệm, đặc biệt đối với các mẫu sinh thiết phức tạp như sinh thiết thận. Với phương châm “Chất lượng – Hiệu quả – Lan tỏa niềm tin”, Khoa không ngừng nâng cao năng lực chuyên môn, cập nhật kỹ thuật hiện đại, phối hợp chặt chẽ với lâm sàng, nhằm mang đến kết quả chẩn đoán chính xác, kịp thời và có giá trị thực tiễn cao, góp phần quan trọng vào hiệu quả điều trị và sự an tâm của người bệnh. 👉 Mọi nhu cầu tư vấn, gửi mẫu xét nghiệm hoặc hợp tác chuyên môn, xin vui lòng liên hệ trực tiếp Khoa Giải phẫu bệnh để được hỗ trợ nhanh chóng và đầy đủ.
|
Tác giả: BSCKII. Phó Hồng Điệp – Phó Trưởng khoa Giải phẫu bệnh
Người phê duyệt: TS. Hoàng Ngọc Thạch – Trưởng khoa Giải phẫu bệnh
Bệnh viện Nhi Trung ương





